Ivonne Loaiza Pacheco ID· Diana Marcela Rodríguez De la Hoz ID· Manuela Laguna Kirof ID Nebil Larrañaga ID· Eugenia Orozco ID
Centro de Educación Médica e Investigaciones Clínicas “Norberto Quirno” – Departamento Diagnóstico por Imágenes.
Ciudad Autónoma de Buenos Aires, Argentina.
Acta Gastroenterol Latinoam 2025;55(3):210-211
Recibido: 21/06/2025 / Aceptado: 15/09/2025 / Publicado online el 30/09/2025 / https://doi.org/10.52787/agl.v55i3.506
Presentación del caso
Paciente de sexo femenino de 14 años de edad, con antecedente de obesidad (IMC 43,8) que consultó en la guardia de emergencias por dolor abdominal periumbilical asociado a náuseas y vómitos de 48 horas de evolución. En la exploración presentaba abdomen globoso, distendido, doloroso en la región umbilical y el epigastrio, sin peritonismo ni palpación de visceromegalias. En cuanto a la bioquímica sanguínea, serologías, parásitos en heces y coprocultivos los resultados de todos los exámenes fueron negativos. Se le realizó tomografía computada multietector (TCMD) con contraste endovenoso en primera instancia y subsecuente resonancia magnética (RM) para una mejor caracterización
del caso.
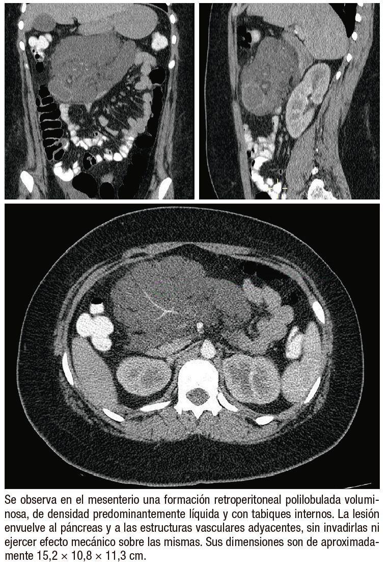
Figura 1. Tomografía computada multidetector con contraste endovenoso
Figura 2. Resonancia magnética en corte axial

¿Cuál es su diagnóstico?
Resolución del caso en la página 262
Correspondencia: Ivonne Loaiza Pacheco
Correo electrónico: ivloaiza91@gmail.com
Acta Gastroenterol Latinoam 2025;55(3):210-211
Solución del caso: Masa oculta: reto diagnóstico en una adolescente con dolor abdominal agudo
Tras la obtención de las pruebas de imagen, y considerando las características de la lesión, se incluyeron entre los diagnósticos diferenciales diversas lesiones quísticas retroperitoneales. Entre ellas, se planteó el pseudoquiste pancreático; sin embargo, este diagnóstico se descartó debido a que la mayoría de los pseudoquistes se desarrollan como complicación de una pancreatitis aguda o crónica, o bien como consecuencia de un traumatismo pancreático o intervención quirúrgica.¹
El teratoma quístico fue otra lesión benigna considerada, dado que se trataba de una masa compleja con áreas de grasa y calcificaciones. No obstante, en nuestro caso se descartó teniendo en cuenta el grupo etario de la paciente, ya que este tipo de tumores es más frecuente en recién nacidos.
El diagnóstico radiológico final fue linfangioma quístico retroperitoneal (LQR), corroborado mediante estudio histopatológico, ya que la paciente fue sometida a una video laparoscopía con biopsia diagnóstica que confirmó el hallazgo.
El LQR es una malformación benigna caracterizada por la proliferación del endotelio de los espacios linfáticos. Actualmente se considera más una malformación congénita que un verdadero tumor linfático, lo que explica su mayor frecuencia en las primeras etapas de la vida.² La localización más común de los linfangiomas es cervical (75%) y axilar (20%). Otras localizaciones menos frecuentes incluyen mediastino, pulmón, mesenterio y retroperitoneo.
Como se mencionó, el abdomen es un sitio poco habitual de presentación. A menudo los pacientes permanecen asintomáticos. El amplio espacio retroperitoneal permite que los linfangiomas alcancen un gran tamaño antes de ser detectados. Cuando esto ocurre, pueden aparecer síntomas como dolor abdominal y distensión abdominal, e incluso complicaciones como obstrucción intestinal, vólvulos e infarto intestinal por compresión extrínseca, lo que resalta la importancia del diagnóstico precoz.³
En la TCMD, el LQR suele manifestarse como una masa quística multiseptada de gran tamaño, con paredes delgadas que pueden realzar tras la administración de contraste (Figura 1). Presenta una densidad homogénea, con valores de atenuación que varían desde líquido hasta grasa: atenuación negativa cuando el contenido es quiloso y alta atenuación cuando el contenido es hemorrágico, pudiendo simular una masa sólida. Debido a su tamaño, suelen cruzar los compartimentos anatómicos. En raras ocasiones presentan calcificación de la pared. Por otro lado, la RM es altamente sensible y útil para demostrar la naturaleza quística multiseptada de estas lesiones. El LQR se caracteriza por presentar hiperintensidad en secuencias ponderadas en T2 e hipointensidad en ponderaciones T1 (Figura 2).
Cuando el contenido es predominantemente quiloso, puede observarse hiperintensidad en T1 e intensidad intermedia en T2.³
En el caso de nuestra paciente, dado el carácter benigno de la lesión, confirmado mediante el estudio anatomopatológico, se optó por una conducta expectante. Este enfoque resulta apropiado para los pacientes asintomáticos o en aquellos en los que la lesión no genera complicaciones compresivas significativas, evitando procedimientos quirúrgicos innecesarios. En este contexto, las técnicas de imagen -especialmente la RM y la TCMD- desempeñan un papel fundamental para el seguimiento evolutivo de la lesión, permitiendo evaluar posibles cambios en su tamaño, características internas o aparición de complicaciones como hemorragia o efecto compresivo sobre estructuras adyacentes. Un control radiológico periódico garantiza la detección precoz de estas eventualidades y, en caso de progresión, la necesidad de una intervención quirúrgica.
En aquellos casos en los que se decida el tratamiento quirúrgico, éste se suele hacer mediante cirugía abierta o laparoscópica, realizándose la exéresis completa de la lesión, lo que confiere buen pronóstico.4 El drenaje y la escleroterapia se reservan para casos seleccionados en los que la resección quirúrgica no es posible.
Consentimiento para la publicación. Para la confección de este manuscrito se utilizaron datos anonimizados que no han distorsionado su significado científico.
Propiedad intelectual. Los autores declaran que los datos y las figuras presentes en el manuscrito son originales y se realizaron en sus instituciones pertenecientes.
Financiamiento. Los autores declaran que no hubo fuentes de financiación externas.
Conflicto de interés. Los autores declaran no tener conflictos de interés en relación con este artículo.
Aviso de derechos de autor
© 2025 Acta Gastroenterológica Latinoamericana. Este es un artículo de acceso abierto publicado bajo los términos de la Licencia Creative Commons Attribution (CC BY-NC-SA 4.0), la cual permite el uso, la distribución y la reproducción de forma no comercial, siempre que se cite al autor y la fuente original.
Cite este artículo como: Pacheco I L, Rodríguez De la Hoz D M, Laguna Kirof M y col. Masa oculta: reto diagnóstico en una adolescente con dolor abdominal agudo. Acta Gastroenterol Latinoam. 2025;55(3):262-263. https://doi.org/10.52787/agl.v55i3.506
Referencias
- Electrónica Educativa P, Flores E, José M, Llanas MS, Fernández Armendáriz P, Ramos TP, et al. Lesiones químicas del páncreas, algo más que pseudoquistes [Internet]. Espacio-seram.com. [citado el 26 de septiembre de 2023]. Disponible en: https://piper.espacio-seram.com/index.php/seram/article/download/1923/966/1918
- Yacoub JH, Clark JA, Paal EE, Manning MA. Approach to cystic lesions in the abdomen and pelvis, with radiologic-pathologic correlation. Radiographics [Internet]. 2021;41(5):1368-86. Disponible en: https://pubs.rsna.org/doi/full/10.1148/rg.2021200207
- Electrónica Educativa P, Echevarria EL, Argudo H, Guantes B, Vigo D, Docentes O. Lesiones Quísticas y Pseudoquísticas Mesentéricas y Omentales [Internet]. Espacio-seram.com. [citado el 25 de septiembre de 2023]. Disponible en: https://piper.espacio-seram.com/index.php/seram/article/view/1968
- Sosa Hernández R, Sánchez Portela CA, Simón Rodríguez L. Quiste del mesenterio: reporte de un caso y revisión de la literatura. Rev Cuba Cir [Internet]. 2007 [citado el 26 de septiembre de 2023];46(4):0-0. Disponible en: http://scielo.sld.cu/scielo.php?script=sci_arttext&pid=S0034-7493200700040001
Acta Gastroenterol Latinoam 2025;55(3):262-263
Revista ACTA Órgano Oficial de SAGE

