Roy López Grove ID· Daniela Soloaga ID· Juan Carlos Spina ID
Hospital Italiano de Buenos Aires.
Ciudad Autónoma de Buenos Aires, Argentina.
Acta Gastroenterol Latinoam 2025;55(4):330-331
Recibido: 04/11/2025 / Aceptado: 09/12/2025 / Publicado online el 23/12/2025 / https://doi.org/10.52787/agl.v55i4.558
Caso clínico
Presentación del caso
Paciente masculino de 64 años, sin antecedentes clínicos de relevancia, que consultó por dolor epigástrico de evolución subaguda. En los estudios de laboratorio se evidenció descenso de eosinófilos y linfocitos, con plaquetopenia leve como único hallazgo patológico. Por síntomas de dispepsia, se realizó una endoscopía digestiva alta, la cual evidenció dos lesiones gástricas: una en la región subcardial, de contornos regulares y cubierta por mucosa indemne, y otra de mayor tamaño en el cuerpo gástrico distal, también con mucosa preservada. A partir de los hallazgos endoscópicos, se solicitó una tomografía abdominal con distensión gástrica por CO2 (neumotomografía), la cual incluye reconstrucciones tridimensionales. Asimismo, se solicitó una endoscopía virtual generada postprocesamiento. Este estudio permitió caracterizar con mayor precisión la morfología de las lesiones, su localización exacta y su patrón de crecimiento.
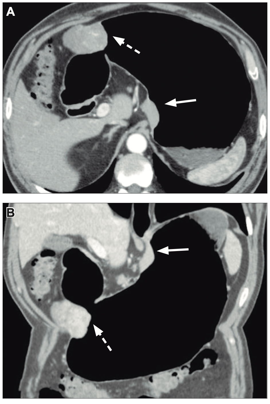
La tomografía computada prequirúrgica evidenció una masa subcardial con crecimiento hacia la luz y realce homogéneo tras la administración de contraste, y otra masa en el cuerpo distal de crecimiento mixto y realce heterogéneo (Figuras 1A y 1B). La reconstrucción tridimensional, similar a un estudio baritado del estómago, facilitó la localización precisa de ambos tumores (Figura 2). La endoscopía virtual proporcionó una visión intraluminal de ambas lesiones; mostrando la mucosa gástrica preservada (Figura 3). No se evidenciaron adenopatías regionales ni metástasis a distancia.
Figura 1. A y B

Figura 2.

Figura 3.

¿Cuál es su diagnóstico?
Resolución del caso en la página 398
Correspondencia: Roy López Grove
Correo electrónico: roy.lopez@hospitalitaliano.org.ar
Acta Gastroenterol Latinoam 2025;55(4):330-331
Solución del caso:
Evaluación de un paciente con dolor epigástrico y hallazgos sincrónicos infrecuentes
Se realizó la resección laparoscópica de ambos tumores. El análisis histológico reveló proliferaciones de células fusiformes bien delimitadas, sin atipia citológica ni actividad mitótica. La inmunohistoquímica mostró que la lesión subcardial fue positiva en actina de músculo liso (SMA; Figura 4 A) y negativa en CD117, DOG1 y CD34, hallazgos compatibles con leiomioma. En contraste, la lesión localizada en el cuerpo gástrico fue positiva en CD117, DOG1 (Figura 4 B) y CD34, y negativa en SMA y desmina, lo que permitió establecer el diagnóstico de tumor del estroma gastrointestinal (GIST).
El paciente presentó una evolución posquirúrgica favorable. A los 6 meses se encontraba asintomático, sin evidencia de recurrencia en los estudios de control.
Los GIST representan la mayoría de las lesiones subepiteliales gástricas, alrededor del 70%, y varían entre pequeñas lesiones endoluminales y masas exofíticas con áreas de hemorragia o necrosis.1 El leiomioma es infrecuente en el estómago y típicamente se presenta como una masa hipodensa homogénea, de crecimiento endoluminal, ubicada en el cardias.2 La coexistencia de ambos tumores es extremadamente rara, sin reportes previos similares.
Consentimiento para la publicación. Para la confección de este manuscrito, se utilizaron datos anonimizados que no han distorsionado su significado científico.
Propiedad intelectual. Los autores declaran que los datos y las figuras presentes en el manuscrito son originales y se realizaron en sus instituciones pertenecientes.
Financiamiento. Los autores declaran que no hubo fuentes de financiación externas.
Conflicto de interés. Los autores declaran no tener conflictos de interés en relación con este artículo.
Aviso de derechos de autor
© 2025 Acta Gastroenterológica Latinoamericana. Este es un artículo de acceso abierto publicado bajo los términos de la Licencia Creative Commons Attribution (CC BY-NC-SA 4.0), la cual permite el uso, la distribución y la reproducción de forma no comercial, siempre que se cite al autor y la fuente original.
Cite este artículo como: López Grove R, Soloaga D y Spina J C. Evaluación de un paciente con dolor epigástrico y hallazgos sincrónicos infrecuentes. Acta Gastroenterol Latinoam. 2025;55(4):398-399. https://doi.org/10.52787/agl.v55i4.558
Referencias
- Kang HC, Menias CO, Gaballah AH, Shroff S, Taggart MW, Garg N, et al. Beyond the GIST: mesenchymal tumors of the stomach. Radiographics. 2013 Oct;33(6):1673-90.
- Lin YM, Chiu NC, Li AFY, Liu CA, Chou YH, Chiou YY. Unusual gastric tumors and tumor-like lesions: Radiological with pathological correlation and literature review. World J Gastroenterol. 2017 Apr 14;23(14):2493-504.
Acta Gastroenterol Latinoam 2025;55(4):398-399
Revista ACTA Órgano Oficial de SAGE



