Brian Santos ID· Gustavo Nestares ID· Gonzalo Castellano Egloff ID· María Lorena Diez Ribotta ID
Clínica Adventista Belgrano.
Ciudad Autónoma de Buenos Aires, Argentina.
Acta Gastroenterol Latinoam 2025;55(3):252-256
Recibido: 12/01/2025 / Aceptado: 14/08/2025 / Publicado online: 30/09/2025 / https://doi.org/10.52787/agl.v55i3.461
Resumen
Actualmente el estándar de oro para evaluar las enfermedades del intestino delgado es la cápsula endoscópica. Su uso más común es la investigación del sangrado intestinal de origen oscuro, aunque sus indicaciones se han ampliado para incluir la investigación de la enfermedad de Crohn, la anemia por deficiencia de hierro, los síndromes de mala absorción, las lesiones intestinales relacionadas con el uso de antiinflamatorios no esteroides, los tumores del intestino delgado y la vigilancia de síndromes de poliposis. El principal riesgo asociado con su utilización es la retención de la cápsula. Se presenta el caso de una paciente que ingresa a la guardia debido a dolor abdominal agudo refiriendo que hace
4 meses se le realizó un estudio con cápsula endoscópica, en el contexto de la investigación de su anemia. Se realizaron estudios por imágenes que mostraron un elemento metálico en el colon asociado con la presencia de hidroneumoperitoneo. Con el diagnóstico de abdomen agudo perforativo se decide la conducta quirúrgica y se realiza una hemicolectomía derecha. El estudio anatomopatológico informa la presencia de una cámara endoscópica intraluminal. Se da el alta médica al séptimo día, sin complicaciones. Se presenta este caso para destacar los riesgos de una retención capsular, que puede llevar a complicaciones agudas como la obstrucción o la perforación, resaltando la importancia de realizar un diagnóstico temprano para que no sea necesario llegar a un procedimiento quirúrgico.
Palabras claves. Cápsula endoscópica, retención de cápsula endoscópica, obstrucción intestinal, perforación intestinal.
Surgical Management of a Complicated Retained Endoscopic Capsule. A Case Report
Summary
Currently, capsule endoscopy is the gold standard for evaluating small bowel diseases. Its most common use is to investigate intestinal bleeding of unknown origin, although its indications have been expanded to include the investigation of Crohn’s disease, iron deficiency anemia, malabsorption syndromes, intestinal lesions related to the use of nonsteroidal anti-inflammatory drugs, small bowel tumors, and surveillance of polyposis syndromes. The main risk associated with its use is capsule retention. We present the case of a patient who was admitted to the emergency room due to acute abdominal pain and reported that four months earlier she had undergone a capsule endoscopy as part of an investigation into her anemia. Imaging studies revealed a metallic object in the colon and hydropneumoperitoneum. With a diagnosis of acute perforated abdomen, surgical intervention was decided upon, and a right hemicolectomy was performed. The pathological study reported the presence of an intraluminal endoscopic camera. The patient was discharged on the seventh day without complications. This case is presented to highlight the risks of capsular retention, which can lead to acute complications such as obstruction or perforation, emphasizing the importance of early diagnosis so that surgery is not necessary.
Keywords. Endoscopic capsule, endoscopic capsule retention, intestinal obstruction, intestinal perforation.
Abreviaturas
CE: Cápsula endoscópica.
GI: Tracto gastrointestinal.
HDO: Hemorragia de origen oscuro.
EC: Enfermedad de Crohn.
EDB: Enteroscopía con doble balón.
CR: Cápsula retenida.
Introducción
La cápsula endoscópica (CE) fue desarrollada como una herramienta para examinar el intestino delgado, que está fuera del alcance de los endoscopios convencionales, pero hoy en día se utiliza para diagnosticar y controlar enfermedades en todo el tracto gastrointestinal (GI).1
La hemorragia digestiva de origen oscuro (HDO) es la principal indicación clínica para la endoscopía con cápsula: entre el 70 y el 80% de los pacientes sometidos a endoscopía con cápsula padecen HDO.2
La retención de la cápsula es la complicación más común y se presenta en 1,4% de los procedimientos. Los pacientes con enfermedades preexistentes, como la enfermedad de Crohn (EC), tienen una tasa de retención más alta. La cápsula retenida se puede excretar de forma espontánea o, en algunos casos, después de la estimulación farmacológica, pero la mayoría necesitará ser extraída mediante intervención quirúrgica o endoscópica, incluida la enteroscopía de doble balón (EDB).3 El objetivo de este manuscrito es ponderar la conducta quirúrgica ante una complicación aguda y destacar la importancia del control y seguimiento posterior al estudio de la cápsula endoscópica.
Caso clínico
Paciente femenina de 77 años, con antecedentes personales de alergia a la penicilina, cáncer de mama con mastectomía bilateral y radioterapia, tiroidectomía, HTA, hipotiroidismo, artrosis de rodilla y glaucoma. Consulta en la guardia con un cuadro clínico de 24 horas de evolución caracterizado por dolor abdominal asociado a deposiciones melénicas. Refiere que hace 4 meses le realizaron un estudio de cápsula endoscópica por anemia en estudio (sangrado de origen oscuro) en el cual se informó: sangrado activo a nivel de íleon terminal y gastropatía antral no sangrante. La paciente realizó el estudio y el seguimiento en otra institución. Al momento del examen físico presentaba abdomen distendido timpánico doloroso difuso, con defensa parietal y ruidos hidroaéreos disminuidos en intensidad.
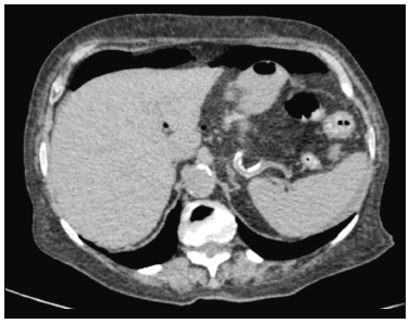
A su ingreso se realizaron estudios, tomografía de abdomen y pelvis, con el hallazgo de hidroneumoperitoneo, líquido libre en la cavidad abdominal, medialización del ciego, marcadamente distendido, con la presencia de un elemento de alta densidad en su interior (¿cuerpo extraño?) (Figura 1-2). Laboratorio: glóbulos blancos 1.8 mill/mm3, creatinina 1.5 mg%, ldh 169 U/l.
Figura 1. TC abdomen y pelvis: hidroneumoperitoneo

Figura 2. Elemento de alta densidad en el interior del colon que presentaba un cuerpo extraño

Dado el cuadro clínico y las imágenes el caso se interpreta como abdomen agudo perforativo y se decide la conducta quirúrgica. Se realiza una laparotomía exploradora, evidenciándose líquido serohemático espeso. El ciego estaba distendido, con una perforación de aproximadamente 10 mm en su cara lateral externa. Se palpaba una formación duroelástica móvil a nivel del colon ascendente, sin poder descartar patología tumoral. El resto del ID y el colon no tenían evidencia de patología macroscópica. Se realizó una hemicolectomía derecha con anastomosis termino-terminal con criterio oncológico (Figura 3-4).
Figura 4. Perforación cecal. Movilización del colon derecho

La paciente presentó buena evolución, otorgándose el alta sanatorial al 7° día.
En la anatomía patológica se informó pieza de colectomía derecha que al corte presentaba serosa, congestiva con mucosa aplanada y luz dilatada. Coexiste con abundante material fecaloide en el interior. Se rescata cámara endoscópica intraluminal.
Discusión
La cápsula endoscópica (CE) permite un examen directo y no invasivo de toda la longitud del intestino delgado y se ha convertido en el método de elección para la evaluación de las enfermedades sospechadas del intestino delgado.4-6 Se considera un procedimiento seguro que se ha consolidado como una herramienta de diagnóstico no invasiva para enfermedades gastrointestinales durante las últimas décadas.
La cápsula retenida (CR) es el evento adverso más frecuente que puede conducir a una obstrucción aguda del intestino delgado. Se ha informado en aproximadamente el 1,4% de los estudios en una revisión reciente7 y varió del 0 al 13%.8,9,10
La tasa de retención depende de la indicación: 1,4% en los casos de hemorragia digestiva de origen oscuro, 1,5% en la sospecha de enfermedad de Crohn (EC), 5 a 13% para EC conocida y 21% en los casos de sospecha de obstrucción del intestino delgado.11-13
La retención se define como la video cápsula endoscópica que permanece en el tracto gastrointestinal durante un mínimo de dos semanas y cuya presencia se confirma con una radiografía abdominal, o si se debe implementar una intervención médica, endoscópica o quirúrgica dirigida para eliminarla o progresar su paso.4,12,14 Tal como se presenta en este caso la paciente permaneció con la cápsula retenida durante 4 meses. Cabe destacar que dicho estudio y seguimiento se realizó en otra institución. Consideramos de importancia el seguimiento del paciente eventualmente con radiografías de abdomen seriadas una vez pasado el tiempo promedio en el que se estima que la cápsula sea expulsada.
La CR es asintomática en la mayoría de los casos. Los síntomas surgen a partir de su impactación, que causa obstrucción intestinal parcial y/o intermitente y pueden complicarse aún más con una obstrucción completa o incluso una perforación intestinal.15,16,17 De acuerdo con lo descripto en la bibliografía, se decidió la conducta quirúrgica por los síntomas agudos que presentaba al momento de su ingreso. Con respecto al sitio de retención, en nuestro caso el ciego, no se corresponde con el sitio más frecuente de retención según la evidencia actual.
En los primeros años la cirugía se utilizaba con frecuencia para las cápsulas retenidas;11 sin embargo, para los pacientes asintomáticos o con dolor abdominal leve, estudios posteriores informaron resultados clínicos más favorables utilizando métodos endoscópicos o tratamiento médico.16, 18 La exploración quirúrgica continúa siendo el tratamiento más frecuente, en un 58,7% de los casos.10 La cirugía facilita tanto el diagnóstico como el tratamiento de las afecciones subyacentes que causaron la retención.
Es importante tener en consideración la posibilidad de retención de la cápsula, especialmente en los pacientes con úlceras del intestino delgado conocidas o sospechadas, lesiones malignas o trastornos de la motilidad. Como los estudios radiológicos tienen un bajo rendimiento diagnóstico y tienden a subestimar las estenosis del intestino delgado, se requiere una selección cuidadosa de los pacientes para evitar complicaciones.19
Conclusión
El diagnóstico temprano de la retención capsular y su manejo inicial evitarían llegar a una cirugía mayor. El abordaje quirúrgico permite, no solo su extracción, sino también, el tratamiento de la causa subyacente y la prevención de las complicaciones agudas de la retención. Es de vital importancia el control y seguimiento de estos pacientes para evitar llegar a una complicación o poder resolver la misma mediante métodos mínimamente invasivos en forma temprana.
Consentimiento para la publicación. Para la confección de este manuscrito se utilizaron datos anonimizados que no han distorsionado su significado científico.
Propiedad intelectual. Los autores declaran que los datos y las figuras presentes en el manuscrito son originales y se realizaron en sus instituciones pertenecientes.
Financiamiento. Los autores declaran que no hubo fuentes de financiación externas.
Conflicto de interés. Los autores declaran no tener conflictos de interés en relación con este artículo.
Aviso de derechos de autor
© 2025 Acta Gastroenterológica Latinoamericana. Este es un artículo de acceso abierto publicado bajo los términos de la Licencia Creative Commons Attribution (CC BY-NC-SA 4.0), la cual permite el uso, la distribución y la reproducción de forma no comercial, siempre que se cite al autor y la fuente original.
Cite este artículo como: Santos B, Nestares G, Castellano Egloff G. y col. Manejo quirúrgico de una cápsula endoscópica retenida complicada. Presentación de caso. Acta Gastroenterol Latinoam. 2025;55(3):252-256. https://doi.org/10.52787/agl.v55i3.461
Referencias
- Akpunonu B, Hummell J, Akpunonu JD, Ud Din S. Capsule endoscopy in gastrointestinal disease: Evaluation, diagnosis, and treatment. Cleve Clin J Med. 2022 Apr 1;89(4):200-211. DOI: 10.3949/ccjm.89a.20061. PMID: 35365558.
- Rondonotti E, Villa F, Mulder CJ, Jacobs MA, de Franchis R. Small bowel capsule endoscopy in 2007: indications, risks and limitations. World J Gastroenterol. 2007 Dec 14;13(46):6140-9.
DOI: 10.3748/wjg.v13.i46.6140. PMID: 18069752; PMCID: PMC4171222. - Xin L, Liao Z, Du YQ, Jiang YP, Li ZS. Retained capsule endoscopy causing intestinal obstruction – Endoscopic retrieval by retrograde single-balloon enteroscopy. J Interv Gastroenterol. 2012 Jan;2(1):15-18. DOI: 10.4161/jig.20128. Epub 2012 Jan 1. PMID: 22586544; PMCID: PMC3350904.
- Pennazio M, Spada C, Eliakim R, et al. Small-bowel capsule endoscopy and device-assisted enteroscopy for diagnosis and treatment of small-bowel disorders: European Society of Gastrointestinal Endoscopy (ESGE) Clinical Guideline. Endoscopy 2015;47:352-76.
- Koulaouzidis A, Rondonotti E, Karargyris A. Small-bowel capsule endoscopy: a ten-point contemporary review. World J Gastroenterol 2013;19:3726-46.
- Gerson LB, Fidler JL, Cave DR, et al. ACG clinical guideline: diagnosis and management of small bowel bleeding. Am J Gastroenterol 2015;110:1265-87.
- Enns RA, Hookey L, Armstrong D, et al. Clinical practice guidelines for the use of video capsule endoscopy. Gastroenterology. 2017;152(3):497-514.
- Barret M, Malamut G, Rahmi G, Samaha E, Edery J, Verkarre V, Macintyre E, Lenain E, Chatellier G, Cerf-Bensussan N, Cellier C. Diagnostic yield of capsule endoscopy in refractory celiac disease. Am J Gastroenterol. 2012 Oct;107(10):1546-53. DOI: 10.1038/ajg.2012.199. Epub 2012 Sep 11. PMID: 22964554.
- Du J, Pan D, Ma P, et al. The clinical characteristic and risk of capsule incomplete and retention in Crohn’s disease. Int J Clin Exp Med. 2015;8(8):13482-90.
- Liao Z, Gao R, Xu C, Li ZS. Indications and detection, completion, and retention rates of small bowel capsule endoscopy: a systematic review. Gastrointest Endosc. 2010;71(2):280-6.
- Li F, Gurudu SR, De Petris G, et al. Retention of the capsule endoscope: a single center experience of 1000 capsule endoscopy procedures. Gastrointest Endosc 2008;68:174-180.
- Cave D, Legnani P, de Franchis R, et al. ICCE consensus for capsule retention. Endoscopy 2005;37:1065-7.
- Cheifetz AS, Kornbluth AA, Legnani P, et al. The risk of retention of the capsule endoscope in patients with known or sus pected Crohn’s disease. Am J Gastroenterol 2006;101:2218-2222
- Cave D, Legnani P, de Franchis R, Lewis BS. ICCE consensus for capsule retention. Endoscopy. 2005;37(10):1065-7
- Nikolaos G Symeonidis, Kalliopi E Stavrati, Efstathios T Pavlidis, Kyriakos K Psarras, Eirini C Martzivanou, Christina C Nikolaidou, Maria C Meitanidou, Sofia N Tsiftsi, Theodoros E Pavlidis. Undiagnosed Endoscopy Capsule Retention Causing Delayed Intestinal Obstruction in a Patient with a Small Bowel Neuroendocrine Tumor. Am J Case Rep. 2021 Jul 24;22:e932419-1-e932419-5. DOI: 10.12659/AJCR.932419
- Van Weyenberg SJ, Van Turenhout ST, Bouma G, Van Waesberghe JH, Van der Peet DL, Mulder CJ, et al. Double-balloon endoscopy as the primary method for small-bowel video capsule endoscope retrieval. Gastrointest Endosc 2010;71:535-41.
- Royall NA, Fiscina CD. Report of video-capsule endoscopy dis ruption producing episodic small bowel obstruction after pro longed retention. Int J Surg Case Rep 2014;5:1001. https://doi. org/10.1016/j.ijscr.2014.10.073
- Han Z, Qiao W, Ai X, et al. Risk factors for surgery in patients with reten tion of endoscopic capsule. Scand J Gastroenterol. 2018;53(1):107-13.
- Ormeci AC, Akyuz F, Baran B, Gokturk S, Ormeci T, Pinarbasi B, Mutluay Soyer O, Evirgen S, Akyuz U, Karaca C, Demir K, Kaymakoglu S, Besisik F. Retention during capsule endoscopy: Is it a real problem in routine practice? J Int Med Res. 2016 Aug;44(4):968-75. DOI: 10.1177/0300060516645420. Epub 2016 Jul 4. PMID: 27377071; PMCID: PMC5536635.
Correspondencia: Brian Santos
Correo electrónico: dr.briansantos@gmail.com
Acta Gastroenterol Latinoam 2025;55(3):252-256
Revista ACTA Órgano Oficial de SAGE


