Waldo Franelich Bascuñán1 ID· Daniela Meneses Ishihara1 ID· Rocío Caneo Leal1 ID· Katerin Retamales Rojas2 ID· Giancarlo Schiappacasse Faúndes1 ID
1 Hospital Militar de Santiago, Chile.
2 Instituto Nacional del Cáncer Santiago, Chile.
Acta Gastroenterol Latinoam 2025;55(3):245-251
Recibido: 15/04/2025 / Aceptado: 17/09/2025 / Publicado online: 30/09/2025 / https://doi.org/10.52787/agl.v55i3.483
Resumen
La gastrectomía oncológica constituye el único tratamiento potencialmente curativo del cáncer gástrico, aunque se asocia a una elevada morbimortalidad posoperatoria. El diagnóstico precoz de complicaciones es fundamental para reducir la mortalidad y orientar decisiones terapéuticas oportunas. En este trabajo se presenta una serie de casos representativos, agrupados en una revisión pictográfica de complicaciones posoperatorias tras gastrectomías oncológicas, con énfasis en los hallazgos en tomografía computada. Entre las complicaciones precoces se incluyen la hemorragia en la entero-entero anastomosis, la filtración anastomótica, la fístula entero-quilosa, la pancreatitis aguda y el infarto omental. Las complicaciones tardías comprenden la hernia hiatal complicada con obstrucción intestinal, la recidiva tumoral en la anastomosis y la úlcera perianastomótica. La tomografía computada multidetector permitió identificar con precisión colecciones, extravasación de contraste, dilatación de asas y cambios inflamatorios o isquémicos, aportando signos directos e indirectos de complicación. Estos hallazgos fueron determinantes para guiar el tratamiento, ya fuera conservador, intervencionista o quirúrgico. Esta serie de casos busca resaltar la utilidad de la tomografía computada en el reconocimiento temprano de complicaciones potencialmente graves, reforzando su rol como herramienta diagnóstica esencial en el seguimiento posoperatorio de la gastrectomía oncológica.
Palabras claves. Gastrectomía, cáncer gástrico, complicaciones posoperatorias, tomografía computada, filtración anastomótica.
Postoperative Complications of Oncological Gastrectomies: A Case Series
Summary
Oncologic gastrectomy is the only potentially curative treatment for gastric cancer, although it is associated with high postoperative morbidity and mortality. Early diagnosis of complications is essential to reduce mortality and guide timely therapeutic decisions. This paper presents a series of representative cases, grouped in a pictorial review of postoperative complications after oncologic gastrectomy, with emphasis on computed tomography findings. Early complications included bleeding at the entero-enteric anastomosis, anastomotic leakage, entero-quilloid fistula, acute pancreatitis, and omental infarction. Late complications included hiatal hernia complicated by intestinal obstruction, tumor recurrence at the anastomosis and peri-anastomotic ulcer. Multidetector computed tomography enabled us to accurately identiy fluid collections, contrast extravasation, dilated loops and inflammatory or ischemic changes, providing direct and indirect signs of complications. These findings were decisive in guiding treatment, whether conservative, interventional, or surgical. This case series highlights the usefulness of computed tomography in the early recognition of potentially serious complications, reinforcing its role as an essential diagnostic tool in the postoperative follow-up of oncologic gastrectomy.
Keywords. Gastrectomy, gastric cancer, postoperative complications, computed tomography, anastomotic leak.
Introducción
El cáncer gástrico continúa siendo una de las principales causas de mortalidad por cáncer a nivel mundial. Según el informe GLOBOCAN 2020, se diagnosticaron más de un millón de casos y cerca de 770.000 muertes, ocupando el quinto lugar en incidencia y el cuarto en mortalidad global.1 En Latinoamérica, países como Chile, Colombia y Costa Rica figuran entre los de mayor mortalidad, lo que refleja su relevancia sanitaria regional.2,3
La gastrectomía subtotal o total con linfadenectomía sigue siendo el único tratamiento potencialmente curativo, aunque se asocia a una morbimortalidad considerable, reportada entre un 14% – 43% para las complicaciones y hasta un 12% para la mortalidad en algunas series.4 El espectro de complicaciones posoperatorias es amplio y depende del tipo de cirugía, la técnica reconstructiva y el estado basal del paciente.
Clásicamente, estas complicaciones se dividen en tempranas y tardías; sin embargo, no existe un límite temporal consensuado entre ambas categorías.5,6 En términos generales, se consideran tempranas aquellas que ocurren en el período posoperatorio inmediato, como la filtración anastomótica, la hemorragia, la fístula quilosa, la pancreatitis y el infarto omental; mientras que entre las tardías se incluyen entidades como la recidiva tumoral en la anastomosis, las úlceras perianastomóticas y las hernias internas o hiatales complicadas.5,6
La TC multidetector es el método de elección para la detección de estas complicaciones, ya que permite identificar colecciones, extravasación de contraste, dilatación de asas, defectos murales, signos inflamatorios y cambios isquémicos, con alta sensibilidad y especificidad.5–7
El presente trabajo tiene como objetivo ilustrar, mediante la presentación de una serie de casos, los principales hallazgos tomográficos de complicaciones posoperatorias tras gastrectomías oncológicas, a partir de casos representativos observados en nuestra institución. Nuestro protocolo de manejo en la sospecha de complicaciones incluye la realización sistemática de una tomografía computada.
Casos agrupados por complicación:
Complicaciones tempranas (< 30 días)
Fuga anastomótica
●Caso 1. Hombre de 66 años sometido a gastrectomía total con linfadenectomía por un adenocarcinoma gástrico cardial. En el posoperatorio temprano evolución con dolor abdominal y elevación de los parámetros inflamatorios, por lo que se realizó una TC de abdomen y pelvis en fase porto-venosa que evidenció filtración de la esófago-yeyuno anastomosis, tras lo cual fue intervenido quirúrgicamente, con reparación satisfactoria de la anastomosis.
Fístula entero-quilosa
●Caso 2. Mujer de 57 años con antecedente de adenocarcinoma gástrico tratado mediante gastrectomía total y linfadenectomía. Posteriormente, presentó episodios de diarrea persistente, motivo por el cual se solicitó una TC de abdomen y pelvis con contraste endovenoso. El estudio demostró una colección con nivel líquido-graso en relación con la esófago-yeyuno-anastomosis, hallazgo característico de fístula entero-quilosa secundaria a lesión linfática. La paciente fue manejada de manera conservadora mediante punción percutánea evacuadora y régimen dietario, con evolución favorable.
Hemorragia posoperatoria
● Caso 3. Hombre de 74 años con antecedente de neoplasia gástrica tratada mediante gastrectomía total.
En el período posoperatorio temprano, presentó hemorragia digestiva alta con caída de la hemoglobina. Ante la sospecha de sangrado, se realizó una TC de abdomen y pelvis con fase arterial, que confirmó angrado activo en el sitio de la anastomosis entero-enteral. Ingresa a pabellón para drenaje del hematoma endoluminal y medidas de hemostasia local, evolucionando satisfactoriamente.
Pancreatitis aguda posoperatoria
●Caso 4. Mujer de 72 años sometida a gastrectomía total con linfadenectomía por adenocarcinoma gástrico. En el período posoperatorio presentó dolor abdominal persistente, acompañado de elevación de enzimas pancreáticas. Ante la sospecha de pancreatitis aguda grave se efectuó una TC de abdomen y pelvis, que confirmó el diagnóstico. La paciente fue manejada en unidad de cuidados intensivos con terapia de soporte, evolucionando favorablemente.
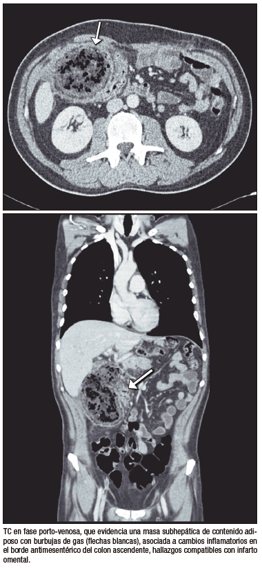
Infarto omental
●Caso 5. Hombre de 52 años con antecedente de gastrectomía total y linfadenectomía por adenocarcinoma gástrico de células en anillo de sello. Durante el seguimiento en quimioterapia adyuvante se solicitó una TC de abdomen y pelvis, que demostró una voluminosa área de infarto en el epiplón mayor.
Complicaciones tardías (> 30 días)
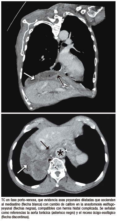
Hernia hiatal
●Caso 6. Mujer de 47 años, con antecedente de gastrectomía total y linfadenectomía por adenocarcinoma gástrico, realizada cuatro años atrás. Consultó en el servicio de urgencias por dolor abdominal agudo asociado a disnea. Se efectuó una TC de tórax, abdomen y pelvis con contraste endovenoso, que demostró una dilatación de asas yeyunales en rango patológico, las cuales ascendían a través del hiato esofágico hacia el mediastino medio. La paciente fue intervenida quirúrgicamente, confirmándose la viabilidad de las asas herniadas, por lo que se realizó reducción sin resección, con evolución favorable.
Recidiva neoplásica
● Caso 7. Mujer de 55 años con antecedente de gastrectomía total y linfadenectomía por adenocarcinoma gástrico localmente avanzado, tratada posteriormente con quimioterapia adyuvante. En el seguimiento oncológico, mediante una TC de tórax, abdomen y pelvis, se identificó un engrosamiento parietal focal en la anastomosis esófago-yeyunal. La endoscopía digestiva alta con biopsia confirmó carcinoma in situ. Se decidió manejo paliativo con quimioterapia sistémica.
Úlcera perianastomótica
●Caso 8. Hombre de 41 años con antecedente de gastrectomía total y linfadenectomía por adenocarcinoma gástrico, previamente tratado con dilataciones endoscópicas por estenosis de la anastomosis gastro-yeyunal.
Consultó por abdomen agudo, estudiado con una TC de abdomen y pelvis en fase porto-venosa, que evidenció úlcera perianastomótica. Fue sometido a resección segmentaria con nueva anastomosis, evolucionando favorablemente.
Discusión
Las complicaciones posoperatorias tras gastrectomía oncológica presentan una prevalencia global reportada entre el 15% – 25%, con una mortalidad del 3% – 5%.7 Estas cifras justifican el seguimiento estrecho y la vigilancia activa ante cualquier signo de alarma clínico o de laboratorio.
En nuestra serie de casos se evidencia la elevada morbilidad asociada a la gastrectomía oncológica, con complicaciones de diversa índole y gravedad que reflejan la complejidad inherente a este procedimiento. La presentación incluyó tanto complicaciones tempranas (como fuga anastomótica, hemorragia o pancreatitis) como tardías (recidiva tumoral, hernia hiatal complicada o úlcera perianastomótica), lo que subraya la heterogeneidad clínica y la necesidad de una clasificación clara para su adecuada interpretación y manejo. A pesar de la frecuencia y severidad de los eventos adversos observados, la mortalidad directamente vinculada a las complicaciones en nuestra experiencia no resultó tan marcada como lo reportado en algunas series internacionales. No obstante, debe recordarse que se trata de un grupo de pacientes con sobrevida global comprometida por la enfermedad oncológica de base, lo que acentúa la importancia de reconocer precozmente estos eventos para no añadir carga adicional a su evolución. En este sentido, el abordaje multidisciplinario oportuno y el uso sistemático de la tomografía computada en el seguimiento posoperatorio fueron determinantes, ya que la implementación protocolizada de la TC en nuestra institución permitió la identificación temprana de las complicaciones, aportando signos directos e indirectos que facilitaron una rápida orientación diagnóstica y terapéutica, y contribuyendo así a mejorar el pronóstico de los pacientes.
En la literatura, las complicaciones suelen dividirse en tempranas y tardías, aunque no existe un límite temporal consensuado entre ambas categorías.5, 6 En términos prácticos, se consideran tempranas aquellas que ocurren en el período posoperatorio inmediato, y tardías las que aparecen en forma diferida. Otra forma de clasificación las agrupa según su localización (enterales y no enterales) o su fisiopatología (estructurales y funcionales).
Entre las complicaciones tempranas, la filtración anastomótica es una de las más graves, con incidencia reportada del 1% – 10% y elevada mortalidad.5 La TC es más sensible que el tránsito baritado para detectar colecciones con gas y extravasación de contraste.6, 7 La hemorragia posoperatoria, aunque infrecuente (0,5% – 5%), constituye una emergencia vital; la TC permite detectar hematomas y extravasación activa en fase arterial.8 La fístula entero-quilosa es poco común y secundaria a lesión linfática durante la linfadenectomía; en TC puede manifestarse como líquido hipodenso o colecciones con nivel líquido-graso.9 La pancreatitis aguda posoperatoria, generalmente relacionada con manipulación quirúrgica o compromiso vascular, puede confirmarse con TC mediante la identificación de necrosis focal y cambios inflamatorios.10 Finalmente, el infarto omental se observa como una masa grasa heterogénea con estriación del tejido adiposo, simulando absceso o recurrencia tumoral.11
Entre las complicaciones tardías, la recidiva tumoral en la anastomosis se sospecha en TC por engrosamiento mural focal, siendo el diagnóstico definitivo histológico.12 La úlcera perianastomótica puede manifestarse con abdomen agudo, y en TC se identifica como un defecto focal de la mucosa con burbujas de gas extraluminales.13 La hernia hiatal complicada, en tanto, constituye una causa de obstrucción intestinal diferida; la TC permite evidenciar el ascenso de asas al mediastino y el punto de transición, diferenciándose de otras causas, como bridas o hernias internas.14
Desde el punto de vista técnico, el protocolo óptimo de TC incluye una fase sin contraste y una fase porto-venosa a los 70 segundos, con cortes finos (≤ 0,75 mm) que permiten reformateos multiplanares. En escenarios específicos puede añadirse una fase arterial (sospecha de sangrado activo) o la administración de contraste oral hidrosoluble en casos de sospecha de filtración o fístula, lo que mejora la sensibilidad diagnóstica.8 – 10
Nuestra serie ilustra un espectro representativo de complicaciones posoperatorias en gastrectomía oncológica y refuerza el rol de la TC como método de elección para su diagnóstico. Asimismo, aporta valor como recurso docente, facilitando el reconocimiento de hallazgos tanto frecuentes como inusuales, y subraya la importancia de la colaboración multidisciplinaria para optimizar el manejo de estos pacientes.
Conclusión
La gastrectomía oncológica continúa siendo un procedimiento complejo, asociado a una morbilidad y mortalidad no despreciables. La tomografía computada multidetector se consolida como la herramienta de elección para la evaluación posoperatoria, ya que permite identificar de manera precisa las complicaciones. El reconocimiento temprano de estos hallazgos radiológicos resulta esencial para orientar la conducta terapéutica, optimizar la toma de decisiones en un contexto multidisciplinario y, en última instancia, contribuir a mejorar el pronóstico de los pacientes tratados por cáncer gástrico.
Consentimiento para la publicación. Para la confección de este manuscrito, se utilizaron datos anonimizados que no han distorsionado su significado científico.
Propiedad intelectual. Los autores declaran que los datos y las figuras que figuran en el trabajo son originales y fueron realizadas en las instituciones pertenecientes.
Financiamiento. Los autores declaran que no hubo fuentes de financiación externas.
Conflictos de interés. Los autores declaran no tener conflictos de interés en relación con este artículo.
Aviso de derechos de autor
© 2025 Acta Gastroenterológica Latinoamericana. Este es un artículo de acceso abierto publicado bajo los términos de la Licencia Creative Commons Attribution (CC BY-NC-SA 4.0), la cual permite el uso, la distribución y la reproducción de forma no comercial, siempre que se cite al autor y la fuente original.
Cite este artículo como: Franelich Bascuñán W, Meneses Ishihara D, Caneo Leal R y col. Complicaciones posoperatorias de gastrectomías oncológicas. Serie de casos. Acta Gastroenterol Latinoam. 2025;55(3):245-251. https://doi.org/10.52787/agl.v55i3.483
Referencias
- Sung H, Ferlay J, Siegel RL, Laversanne M, Soerjomataram I, Jemal A, et al. Global cancer statistics 2020: GLOBOCAN estimates of incidence and mortality worldwide for 36 cancers in 185 countries. CA Cancer J Clin. 2021;71(3):209-49.
- Torres J, Correa P, Ferreccio C, Hernández-Suárez G, Herrero R, Cavazza-Porro M, et al. Gastric cancer incidence and mortality is associated with altitude in the mountainous regions of Pacific Latin America. Cancer Causes Control. 2013;24(2):249-56.
- Santucci C, Malvezzi M, Camargo MC, Piñeros M, Herrero R, Morgan E, et al. Cancer mortality predictions for 2023 in Latin America with focus on stomach cancer. Eur J Cancer Prev. 2023;32(4):310-21.
- Lordick F, Carneiro F, Cascinu S, Fleitas T, Haustermans K, Piessen G, et al. Gastric cancer: ESMO clinical practice guideline for diagnosis, treatment and follow-up. Ann Oncol. 2022;33(10):1005-21.
- Shin CI, Kim SH. Normal and abnormal postoperative imaging findings after gastric oncologic and bariatric surgery. Korean J Radiol. 2020;21(7):793-811.
- Kim KW, Choi BI, Han JK, Kim TK, Kim AY, Lee HJ, et al. Postoperative anatomic and pathologic findings at CT following gastrectomy. Radiographics. 2002;22(2):323-36.
- Levin MS, Fisher AR, Rubesin SE, Laufer I, Herlinger H. Complications after total gastrectomy and esophagojejunostomy: radiologic evaluation. AJR Am J Roentgenol. 1991;157(6):1189-94.
- Kim YH, Ha HK, Kim JH, Jeong YK, Park SH, Kim PN, et al. Gastrointestinal bleeding: CT angiography for detection and localization – diagnostic performance compared with endoscopy and angiography. Radiology. 2006;238(2):498-505.
- Browse NL, Wilson NM, Russo F, Al-Hassan H, Allen DR. Aetiology and management of chylous ascites. Br J Surg. 1992;79(11):1145-50.
- Bollen TL, van Santvoort HC, Besselink MG, van Leeuwen MS, Horvath KD, Freeny PC, et al. The Atlanta classification of acute pancreatitis revisited. Br J Surg. 2008;95(1):6-21.
- Coulier B. Segmental infarction of the greater omentum: CT imaging findings. Clin Radiol. 2006;61(7):625-32.
- Kim HJ, Kim AY, Oh ST, Kim PN, Lee MG, Ha HK. CT findings of local recurrence after gastric cancer surgery: differentiation from postoperative changes. Radiology. 2005;
236(3):913-20. - Singh P, Zubairi AB, Chuttani R. Marginal ulcer after gastric bypass: etiology, diagnosis, and management. Curr Gastroenterol Rep. 2019;21(7):29.
- Gayer G, Zissin R, Apter S, Atar E, Portnoy O, Itzchak Y. Internal hernia: clinical and imaging findings in 17 patients with emphasis on CT criteria. Radiology. 2001;218(1):68-74.
Correspondencia: Giancarlo Schiappacasse Faúndez
Correo electrónico: gschiappacasse@gmail.com
Acta Gastroenterol Latinoam 2025;55(3):245-251
Revista ACTA Órgano Oficial de SAGE









