Elías Lessin García Alba ID· Magalí Chahdi Beltrame ID· Natalia Soledad Ruíz ID· Gabriel Cervantes ID· Marcelo Enrique Lenz Virreira ID· Francisco Juan Mattera ID· Emilio Gastón Quiñonez ID
Unidad de Cirugía Hepatobiliar Compleja, Pancreática y Trasplante Hepático, Hospital de Alta Complejidad El Cruce.
Florencio Varela, Provincia de Buenos Aires, Argentina.
Acta Gastroenterol Latinoam 2025;55(2):157-161
Recibido: 13/02/2025 / Aceptado: 11/06/2025 / Publicado online: 30/06/2025 / https://doi.org/10.52787/agl.v55i2.469
Resumen
La neoplasia sólida pseudopapilar del páncreas es un tumor raro que representa entre 1 y 2% de las neoplasias pancreáticas exocrinas y aproximadamente el 5% de las lesiones quísticas en adultos. Se presenta predominantemente en mujeres jóvenes y suele diagnosticarse incidentalmente debido a su curso clínico inespecífico. Si bien la etiología no está completamente definida, se cree que se origina a partir de células pluripotentes de las crestas genitales. Se presenta el caso de una paciente femenina de 26 años con una tumoración epigástrica asintomática. La resonancia magnética mostró una lesión heterogénea de gran tamaño en la cabeza del páncreas, sin invasión vascular ni metástasis. Se realizó una duodenopancreatectomía cefálica logrando márgenes libres de tumor y sin afectación linfovascular o perineural. La paciente tuvo una evolución postoperatoria favorable, sin presentar recurrencias a los tres años del seguimiento. El diagnóstico de estas neoplasias se basa en estudios por imágenes y la resección quirúrgica completa es el tratamiento de elección. A pesar de su bajo potencial maligno, pueden influir en el pronóstico factores como el tamaño tumoral, la invasión capsular y la atipia celular. Este caso resalta la importancia de un abordaje y tratamiento en centros especializados para optimizar los resultados oncológicos.
Palabras claves. Neoplasia sólida pseudopapilar, tumor pancreático, duodenopancreatectomía, cirugía hepatobiliar.
Solid Pseudopapillary Neoplasm of the Pancreas: Diagnosis and Surgical Management in a Young Patient
Summary
A solid pseudopapillary neoplasm of the pancreas is a rare tumor accounting for 1-2% of exocrine pancreatic neoplasms and around 5% of cystic pancreatic lesions in adults. It predominantly affects young women and is usually diagnosed incidentally due to its non-specific clinical presentation. Although its exact cause is unclear, it is believed to originate from pluripotent cells of the genital ridges. We report the case of a 26-year-old female patient with an asymptomatic epigastric mass. An magnetic resonance scan revealed a large, heterogeneous lesion in the head of the pancreas, with no evidence of vascular invasion or metastasis. A cephalic duodenopancreatectomy was performed, achieving tumour-free margins with no lymphovascular or perineural involvement. The patient had a favourable postoperative recovery, with no recurrence after three years of follow-up. These neoplasms are diagnosed based on imaging studies, and complete surgical resection is the treatment of choice. Despite their low malignant potential, factors such as tumour size, capsular invasion, and cellular atypia may influence prognosis. This case highlights the importance of treatment in specialized centers to optimize oncological outcomes.
Keywords. Pseudopapillary solid neoplasm, pancreatic tumour, duodenopancreatectomy, hepatobiliary surgery.
Abreviaturas
RMN: Resonancia magnética nuclear.
NSP: Neoplasia solida pseudopapilar.
CK: Citoqueratina.
Introducción
Los tumores sólidos pseudopapilares del páncreas son neoplasias poco frecuentes, representando 1 – 2% de las lesiones pancreáticas exocrinas y aproximadamente 5% de las lesiones pancreáticas quísticas en adultos. Afectan predominantemente a las mujeres, con una proporción de 10:1 respecto a los hombres. La edad de diagnóstico oscila entre los 8 y 67 años, con una media de 28,5 años.1, 2
Estudios recientes sugieren un incremento de hasta siete veces en la incidencia de estos tumores en las últimas dos décadas, si bien algunos autores atribuyen este aumento al avance de las técnicas de diagnóstico por imágenes.1, 3
Aunque la etiología aún no ha sido aclarada completamente, la literatura sugiere un origen en células pluripotentes de las crestas genitales que se adhieren al páncreas durante la embriogénesis temprana. Inicialmente fueron considerados tumores benignos, hoy se clasifican como tumores malignos de bajo grado, con baja tasa de metástasis y altas tasas de supervivencia. No obstante se han reportado casos de recurrencia y metástasis en tumores de gran tamaño o con invasión vascular.1, 2, 3
La mayoría de los casos son asintomáticos, aunque los pacientes pueden presentar dolor abdominal, masa palpable, ictericia, náuseas y vómitos dependiendo del tamaño del tumor y la afectación de estructuras adyacentes. En general, el diagnóstico es incidental durante la realización del examen físico o los estudios por imágenes realizados por otras razones.1, 4, 5
El tratamiento de elección es la resección quirúrgica completa del tumor. Según su tamaño y localización, las opciones quirúrgicas incluyen duodenopancreatectomía cefálica, pancreatectomía distal o total.1, 2, 3, 4
Caso clínico
Se presenta el caso de una paciente de 26 años, sin antecedentes médicos de relevancia, remitida a nuestra institución por presentar una tumoración epigástrica no dolorosa, sin otros síntomas acompañantes.
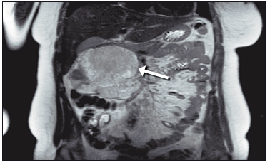
Los estudios de laboratorio, incluidos marcadores tumorales, se encontraron dentro de los parámetros normales. Se realizó una resonancia magnética nuclear (RMN) con contraste endovenoso, la cual evidenció una lesión pancreática en la región cefálica, de señal heterogénea, con áreas hiperintensas en T1 y realce heterogéneo postcontraste. La lesión, de 97 x 110 x 100 mm, no invadía estructuras adyacentes (Figura 1).
Figura 1. Imagen de resonancia magnética que muestra una lesión en la cabeza del páncreas (flecha blanca) que desplaza las estructuras adyacentes

Se realizó un ateneo multidisciplinario en el que se decidió efectuar la resección quirúrgica de la lesión. Durante la cirugía, se identificó una masa tumoral en la cabeza del páncreas que desplazaba estructuras adyacentes, sin compromiso vascular ni metástasis. Se realizó una duodenopancreatectomía cefálica con reconstrucción en doble asa (Figura 2). El tiempo quirúrgico fue de 4 horas y 45 minutos, sin complicaciones postoperatorias. Se retiró la sonda nasogástrica a las 24 horas, iniciando la dieta al segundo día. Fue otorgada el alta hospitalaria a los 10 días postoperatorios.
Figura 2. Intraoperatorio: A. Lesión tumoral previa a la disección. B. Pancreato yeyuno anastomosis. C. Hepático yeyuno anastomosis. D. Gastroenteroanastomosis con pasaje de sonda K108 trans anastomótica. E. Pieza quirúrgica resecada
El estudio anatomopatológico confirmó el diagnóstico de neoplasia sólida pseudopapilar confinada al páncreas, con márgenes libres de tumor, sin invasión capsular. Se identificaron 8 ganglios linfáticos negativos. Los estudios de inmunohistoquímica fueron positivos para CK, vimentina, sinaptofisina, CD56, beta-caterina y un índice Ki-67 del 2 – 3% (Tabla 1).
Tabla 1. Marcadores inmunohistoquimicos
La paciente no requirió tratamiento adyuvante y tras un seguimiento de tres años, permanece libre de recurrencia.
Discusión
Las neoplasias sólidas pseudopapilares (NSP), se reportan en 8 a 16,6% de los casos en pacientes menores de 13 años y se presentan con mayor frecuencia en mujeres jóvenes entre la segunda y cuarta década de la vida. La localización más frecuente es en el páncreas distal
(50 a 60%),6 con un tamaño promedio de 9 cm. Aproximadamente 10 a 15% de los casos presentan metástasis al momento del diagnóstico.1,3,4
En nuestro caso, la localización en la cabeza del páncreas difiere de lo descripto en la literatura, donde la afectación cefálica es menos común. La manifestación clínica más frecuente es el dolor abdominal (36,8%), vómitos e ictericia. Aproximadamente un 12,3% de los casos presentan una masa abdominal palpable, como se observó en nuestra paciente.1, 2, 4, 6 No existen marcadores tumorales específicos; en este caso, los valores de CA 19 – 9 y antígeno carcinoembrionario fueron normales.1, 3, 4
El método de diagnóstico de elección es la RMN con contraste endovenoso, ya que permite una mejor delimitación de la lesión y su relación con estructuras adyacentes.3, 6 La biopsia prequirúrgica es controvertida, especialmente en pacientes de mayor edad, debido al riesgo de diseminación tumoral; sin embargo, la biopsia por ultrasonido endoscópico se considera una alternativa viable en casos seleccionados.4, 6
Los diagnósticos diferenciales en pacientes menores de 40 años incluyen pancreatitis autoinmune, pancreatitis del surco o pancreatitis crónica focal; en pacientes mayores de 40 años se deben considerar los cistoadenomas, cistoadenocarcinomas, neoplasias mucinosas papilares intraductales, teratomas y tumores neuroendocrinos.2, 4, 5, 6
El tratamiento de elección es la resección quirúrgica completa. La enucleación o resección incompleta se asocia con recurrencia local y mal pronóstico. El margen quirúrgico recomendado es de 3 a 5 mm. Generalmente no se recomienda la linfadenectomía extensa.1, 3, 5 La supervivencia global a 5 años es del 95-97% en ausencia de enfermedad metastásica. Los factores de mal pronóstico incluyen un tamaño tumoral superior a 8 cm, atipia celular, invasión capsular, linfovascular o perineural.2, 3, 7
En nuestro caso, la resección fue completa, sin invasión capsular, linfovascular ni perineural, siendo el único factor de mal pronóstico el tamaño tumoral mayor a 8 cm.
El seguimiento postoperatorio se realiza con estudios por imágenes (tomografía o RMN) cada 3 meses durante el primer año, cada 6 meses el segundo año y posteriormente de manera anual hasta completar 5 años. El tratamiento adyuvante solo está indicado en casos de enfermedad metastásica, con gemcitabina y cisplatino como agentes más utilizados.1, 4, 8
Conclusión
Este caso subraya la importancia de considerar el diagnóstico diferencial de NSP ante la presencia de masas pancreáticas en mujeres jóvenes, y resalta el valor del diagnóstico precoz para planificar un abordaje quirúrgico curativo. La ausencia de invasión a estructuras adyacentes permitió una resección completa sin necesidad de tratamiento adyuvante, dado el buen pronóstico asociado a este tipo de tumores cuando son tratados oportunamente.
Se remarca la relevancia de abordar estas lesiones en centros de alto volumen con experiencia en el manejo de patologías pancreáticas, lo que optimiza los resultados posoperatorios y oncológicos.
Consentimiento para la publicación. Para la confección de este manuscrito se utilizaron datos anonimizados que no han distorsionado su significado científico.
Propiedad intelectual. Los autores declaran que los datos, las figuras y las tablas presentes en el manuscrito son originales y se realizaron en sus instituciones pertenecientes.
Financiamiento. Los autores declaran que no hubo fuentes de financiación externas.
Conflicto de interés. Los autores declaran no tener conflictos de interés en relación con este artículo.
Aviso de derechos de autor
© 2025 Acta Gastroenterológica Latinoamericana. Este es un artículo de acceso abierto publicado bajo los términos de la Licencia Creative Commons Attribution (CC BY-NC-SA 4.0), la cual permite el uso, la distribución y la reproducción de forma no comercial, siempre que se cite al autor y la fuente original.
Cite este artículo como: García Alba E L, Chahdi Beltrame M, Soledad Ruíz N S y col. Neoplasia sólida pseudopapilar de páncreas: diagnóstico y manejo quirúrgico en una paciente joven. Acta Gastroenterol Latinoam. 2025;55(2):157-161. https://doi.org/10.52787/agl.v55i2.469
Referencias
- La Rosa S, Bongiovanni M. Pancreatic Solid Pseudopapillary Neoplasm: Key Pathologic and Genetic Features. Arch Pathol Lab Med. 2020 Jul 01;144(7):829-837.
- Law JK, Ahmed A, Singh VK, Akshintala VS, Olson MT, Raman SP, Ali SZ, Fishman EK, Kamel I, Canto MI, Dal Molin M, Moran RA, Khashab MA, Ahuja N, Goggins M, Hruban RH, Wolfgang CL, Lennon AM. A systematic review of solid-pseudopapillary neoplasms: are these rare lesions? Pancreas. 2014 Apr;43(3):331-7.
- Antoniou EA, Damaskos C, Garmpis N, Salakos C, Margonis GA, Kontzoglou K, Lahanis S, Spartalis E, Patsouras D, Kykalos S, Garmpi A, Andreatos N, Pawlik TM, Kouraklis G. Solid Pseudopapillary Tumor of the Pancreas: A Single-center Experience and Review of the Literature. In Vivo. 2017 Jul-Aug;31 (4):501-510.
- Kong J, Zhang H, Wang D, et al. Clinical outcomes of laparoscopic resection for solid pseudopapillary tumors: a multicenter study. Surg Endosc. 2022;36(9):6789-6796.
- Chakhachiro ZI, Zaatari G. Solid-pseudopapillary neoplasm: a pancreatic enigma. Arch Pathol Lab Med. 2009 Dec;133(12): 1989-93.
- Xu YC, Fu DL, Yang F. Unraveling the enigma: a comprehensive review of solid pseudopapillary tumor of the pancreas. World J Gastrointest Oncol. 2024;16(3):614-629.
- Chen J, Zong L, Wang P, et al. Solid pseudopapillary neoplasms of the pancreas: clinicopathologic analysis and a predictive model. Mod Pathol. 2023;36(6):100141.
- Fu C, Li X, Wang Y, et al. Solid pseudopapillary neoplasm of the pancreas: a retrospective study of 195 cases. Front Oncol. 2024;14:1349282.
Correspondencia: Elías Lessin García Alba
Correo electrónico: Lessin229@gmail.com
Acta Gastroenterol Latinoam 2025;55(2):157-161
Revista ACTA Órgano Oficial de SAGE

