Jonatan Nicolás Domínguez ID· María José Cáceres ID· Liria Martínez Rejtman ID· Matías Zanetti ID· Rubén Guillermo Fernández ID· Mariano Arguello ID
Servicio de Gastroenterologia, Hospital Teodoro Juan Schestakow.
San Rafael, Mendoza, Argentina.
Acta Gastroenterol Latinoam 2025;55(4):386-391
Recibido: 21/03/2025 / Aceptado: 25/11/2025 / Publicado online: 23/12/2025 / https://doi.org/10.52787/agl.v55i4.480
Resumen
La hiponatremia severa es una complicación frecuente (21,6%) en pacientes con cirrosis descompensada. En ocasiones, también puede manifestarse como un síndrome paraneoplásico, que puede preceder al diagnóstico de cáncer en un 5% de los casos. Se puede asociar a cáncer de pulmón (25% – 45%), cáncer colorrectal, cáncer de mama o linfomas. La hiponatremia refleja la complejidad de las interacciones entre la enfermedad hepática y los procesos oncológicos. En pacientes cirróticos descompensados, la hiponatremia se suele producir por la incapacidad renal para excretar agua libre de solutos, lo que resulta en una dilución del sodio en sangre. Sin embargo, en contexto de cáncer, factores como la secreción ectópica de hormona antidiurética por los tumores pueden exacerbar esta condición. Este síndrome de secreción inadecuada de hormona antidiurética puede llevar a una retención adicional de agua, acentuando la hiponatremia de estos pacientes. Presentamos dos casos clínicos que ilustran esta relación: un paciente con metástasis hepáticas y una paciente con nódulos pulmonares, ambos con cirrosis compensada como enfermedad crónica, que ingresaron con hiponatremia severa. El manejo de estos pacientes requiere de un enfoque multidisciplinario, buscando neoplasias ocultas y normalizando cuidadosamente los valores de sodio para evitar complicaciones neurológicas. La identificación temprana de hiponatremia es crucial por su impacto pronóstico.
Palabras claves. Hiponatremia, cirrosis, síndrome paraneoplásico, síndrome de secreción inadecuada de hormona antidiurética.
Severe Hyponatremia as a Marker of Malignancy in Patients with Liver Cirrhosis. Clinical Implications and Prognostic Relevance in two Cases
Summary
Severe hyponatremia is a common complication (21.6%) in patients with decompensated cirrhosis. It can sometimes manifest as a paraneoplastic syndrome, which may precede the diagnosis of cancer in 5% of cases. It can be associated with lung cancer (25 – 45%), colorectal cancer, breast cancer, or lymphomas. Hyponatremia reflects the complexity of the interactions between liver disease and oncological processes. In decompensated cirrhotic patients, hyponatremia is usually caused by the kidney´s inability to excrete free water, resulting in dilution of blood sodium. However, in the context of cancer, factors such as ectopic antidiuretic hormone secretion by tumors can exacerbate this condition. This inappropriate antidiuretic hormone secretion can lead to additional water retention, worsening the hyponatremia in these patients. We present two clinical cases that illustrate this relationship: a patient with liver metastases and a patient with pulmonary nodules, both with compensated cirrhosis as a chronic disease, who were admitted with severe hyponatremia. The management of these patients requires a multidisciplinary approach, searching for occult neoplasms and carefully normalizing sodium levels to prevent neurological complications. Early identification of hyponatremia is crucial due to its prognostic impact.
Keywords. Hyponatremia, cirrhosis, paraneoplastic syndrome, inappropriate antidiuretic hormone syndrome.
Abreviaturas
ADH: Hormona antidiurética.
SIADH: Síndrome de secreción inadecuada de hormona antidiurética.
AVP: Arginina vasopresina.
SCLC: Cáncer de pulmón de células pequeñas.
HTA: Hipertensión arterial.
RMN: Resonancia magnética nuclear.
TAC: Tomografía axial computada.
Introducción
La hiponatremia es uno de los trastornos electrolíticos más comunes y clínicamente significativos en pacientes con cirrosis hepática. Se define como una concentración sérica de sodio inferior a 130 mEq/l. Este problema adquiere relevancia no solo por su elevada prevalencia, que se estima en un 21,6%, sino también por su posible subestimación. Si se considera el umbral de 135 mEq/l, utilizado comúnmente en la población general, la prevalencia podría aumentar hasta un 49%.1-4 Este fenómeno refleja la alta susceptibilidad de los pacientes cirróticos a desarrollar alteraciones en la homeostasis del sodio y del agua debido a los cambios hemodinámicos y neurohormonales característicos de esta enfermedad.1
La fisiopatología de la hiponatremia en la cirrosis hepática y en los síndromes paraneoplásicos está estrechamente relacionada con una combinación de disfunción renal, activación neurohormonal y alteraciones hemodinámicas sistémicas.
La hiponatremia en los pacientes con cirrosis se debe a la incapacidad del riñón para excretar agua libre de solutos, exacerbada por la secreción no osmótica de hormona antidiurética (ADH, por sus siglas en inglés).5 Estas alteraciones se agravan por la activación del sistema renina-angiotensina-aldosterona y el sistema nervioso simpático, que contribuyen al desequilibrio electrolítico y al aumento del volumen extracelular.6 En este contexto, la hiponatremia puede clasificarse en dos tipos principales: hiponatremia hipervolémica, que representa el 90% de los casos y se asocia con retención de agua y sodio; e hiponatremia hipovolémica, que afecta al 10% restante.
La hiponatremia como síndrome paraneoplásico se asocia principalmente con el síndrome de secreción inadecuada de hormona antidiurética (SIADH, por sus siglas en inglés), que es una causa común de hiponatremia hipotónica en pacientes oncológicos. Este síndrome se caracteriza por la liberación ectópica de arginina vasopresina (AVP) por células tumorales, especialmente en el cáncer de pulmón de células pequeñas (SCLC, por sus siglas en inglés).7-9 Aproximadamente entre el 10% y el 45% de los casos de SCLC producen AVP, aunque solo entre el 1% y el 5% de los pacientes con cáncer de pulmón presentan síntomas de SIADH.8
La AVP actúa sobre los receptores V2 en los túbulos renales, aumentando la expresión de acuaporinas y promoviendo la retención de agua, lo que resulta en una disminución de la capacidad de excreción de agua libre y, como consecuencia, en hiponatremia. Este proceso conduce a una hiponatremia euvolémica e hipoosmolar, caracterizada por una baja osmolalidad sérica y una osmolalidad urinaria elevada.10
Desde el punto de vista clínico, la hiponatremia en la cirrosis y en los síndromes pareoplásicos puede manifestarse de diversas maneras, dependiendo de la rapidez con que se instala y de su gravedad. Los síntomas leves incluyen náuseas, vómitos, anorexia y cefalea, mientras que en casos más avanzados o de instalación rápida pueden presentarse calambres musculares, inestabilidad, confusión mental, convulsiones y, en los escenarios más críticos, edema cerebral. Es importante destacar que, cuando la hiponatremia se desarrolla de manera lenta y progresiva, los pacientes suelen experimentar una adaptación fisiológica que atenúa los síntomas, haciendo que el trastorno pase inadvertido en las fases iniciales. Sin embargo, en aquellos casos en los que el descenso en los niveles de sodio ocurre de forma abrupta, las consecuencias pueden ser graves y potencialmente mortales.2-4
A pesar de su alta prevalencia e impacto en la calidad de vida y el pronóstico de los pacientes cirróticos, la hiponatremia sigue siendo un desafío diagnóstico y terapéutico.11-12
Su manejo requiere un enfoque individualizado que tenga en cuenta la corrección del desequilibrio electrolítico, el tratamiento de las complicaciones asociadas, el tratamiento de la enfermedad subyacente y el diagnóstico diferencial de otras etiologías que pueden coexistir con la cirrosis hepática.
El presente trabajo tiene como objetivo presentar dos casos clínicos que muestran la relación entre la hiponatremia severa y su presentación como síndrome paraneoplásico en pacientes con cirrosis compensada, destacando los mecanismos fisiopatológicos involucrados, las implicaciones clínicas y la importancia de un tratamiento adecuado para mejorar la calidad de vida de los pacientes.
El presente estudio cuenta con la aprobación del Comité de Ética del Hospital Teodoro J. Schestakow, conforme a las disposiciones institucionales vigentes y en cumplimiento de los principios éticos.
Presentación de casos
Caso 1.
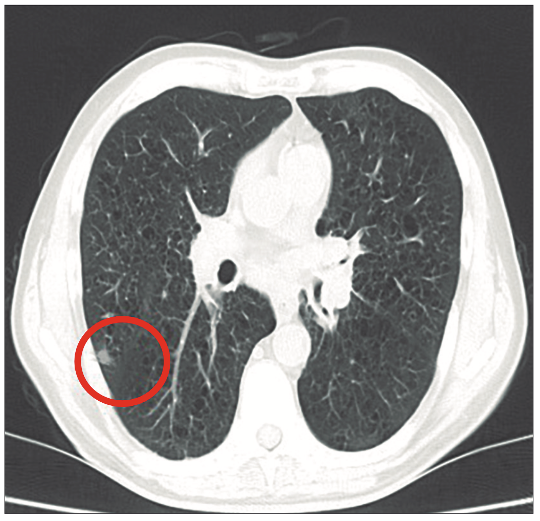
Paciente masculino de 64 años con antecedentes patológicos de cirrosis por alcohol, hipertensión arterial (HTA), y antecedentes tóxicos de consumo de tabaco (80 paquetes año) y alcohol (200 gr/día desde hace 20 años). Consulta en guardia general por dolor abdominal tipo cólico en el flanco derecho, de 72 horas de evolución, que irradia hacia mesogastrio. Se acompaña de vómitos biliosos, distensión abdominal y cinco deposiciones diarias Bristol 7 sin sangre, moco, ni pus. El dolor abdominal y la diarrea ceden con la administración de propinox clorhidrato y tratamiento nutricional. A los 15 días consulta por pérdida de peso y trastorno del sensorio asociado a hiponatremia severa (< 120 mEq/l), quedando internado con sospecha de cirrosis descompensada, en el contexto de una cirrosis de origen etílico confirmada por FibroScam CAP F4, con presencia de várices esofágicas pequeñas. Los exámenes complementarios incluyen una resonancia magnética nuclear (RMN) de abdomen y pelvis, que revela lesiones focales en el segmento VI del hígado, atribuibles a implantes metastásicos (Figuras 1 y 2).
Figura 1.
Figura 2.
Además, se identifican lesiones focales en las glándulas suprarrenales, implantes óseos y peritoneales, así como adenomegalias precavas y a la derecha del origen del tronco celíaco. Laboratorio: TSH 0,98 µUI/Ml; T3 1,04 ng/ml; T4 1,22 ng/dl. Ionograma urinario de 24 horas: Na 65 mEq /24 horas, K 40 mEq/24 horas, Cl 180 mEq/24 horas. Ecocardiograma: índice de masa del ventrículo izquierdo (INMI) 65 gr/m2. Examen físico: sin edemas, ni ascitis, ni ingurgitación yugular. Este caso muestra una extensión significativa de la enfermedad metastásica, con implicancias para el manejo y pronóstico del paciente. Se realizó tratamiento con reposición de sodio siguiendo protocolos actualizados, observándose una mejoría clínica que permitió el alta médica. Posteriormente, continuó con seguimiento ambulatorio, y falleció a los pocos meses por shock hipovolémico secundario a hemorragia digestiva variceal.
Caso 2.
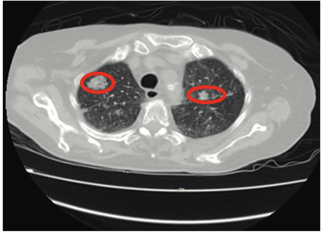
Paciente femenina de 77 años con antecedentes patológicos de HTA y hepatitis autoinmune (anticuerpo ANA y ASMA positivos), sin antecedentes tóxicos y con una historia familiar de cirrosis en su madre. Consulta por debilidad generalizada y dificultad para la marcha. Experimenta debilidad progresiva de una semana de evolución que se intensifica en las últimas 24 horas, con dificultad creciente para la marcha. Durante la evaluación, se constata hiponatremia severa con niveles de sodio sérico de 110 mEq/l. Los exámenes complementarios incluyen una tomografía axial computada (TAC) de tórax que revela múltiples imágenes nodulares pulmonares bilaterales (Figura 3) y derrame pleural bilateral laminar.
Figura 3.
Posteriormente, se realiza una RMN de abdomen con colangiorresonancia que muestra el hígado disminuido de tamaño, con bordes lobulados e intensidad heterogénea difusa, compatible con cirrosis. Se identifican también imágenes nodulares en la glándula suprarrenal izquierda, con diámetros de 13 mm y 20 mm, compatibles con adenomas. Laboratorio: TSH 1,01µUI/mL; T4 1,4 ng/dl. Ionograma urinario de 24 horas: Na 45 m Eq/24 horas, K 70 mEq/24 horas, Cl 150 mEq/ 24 horas. Ecocardiograma: fracción de eyección (FEY) 63%. Examen físico: no presenta edema, ni ascitis, ni ingurgitación yugular. Se indicó reposición de sodio siguiendo protocolos actualizados y tratamiento con antibióticos de amplio espectro, requiriéndose además soporte con vasopresores e intubación orotraqueal con asistencia respiratoria mecánica (ARM). La evolución clínica de la paciente fue tórpida, con desarrollo de shock séptico secundario a urosepsis y óbito. Este caso ilustra la progresión rápida y las complicaciones graves asociadas a la hiponatremia severa en el contexto de hepatitis autoinmune avanzada y enfermedad oncológica no diagnosticada.
Discusión
La hiponatremia es una complicación habitual en pacientes con cirrosis descompensada. Sin embargo, en los casos analizados, los hallazgos sugieren que no se trataría de una consecuencia directa de la descompensación hepática. Este dato tiene importantes implicancias clínicas, ya que orienta a reconsiderar el enfoque diagnóstico, terapéutico y pronóstico en este subgrupo de pacientes. En este contexto, la hiponatremia podría reflejar alteraciones hemodinámicas o metabólicas no necesariamente asociadas a la enfermedad hepática de base, e incluso, en algunos casos, constituir una manifestación de un síndrome paraneoplásico.
El primer caso, un paciente masculino de 64 años con metástasis hepáticas y suprarrenales, muestra cómo la hiponatremia severa (< 120 mEq/l) puede ser un indicador de la progresión significativa de una enfermedad oncológica avanzada. En este contexto, la hiponatremia no solo se atribuye a la disfunción hepática secundaria a las metástasis, sino también al impacto sistémico de la malignidad, incluyendo la activación neurohormonal y la secreción no osmótica de ADH. Este paciente ilustra la necesidad de un enfoque multidisciplinario para manejar tanto el desequilibrio electrolítico como las complicaciones derivadas de la enfermedad metastásica.13,14
El segundo caso, una paciente femenina de 77 años con antecedentes de hepatitis autoinmune y cirrosis hepática, refleja una progresión clínica más tórpida, marcada por hiponatremia severa (110 mEq/l) y evolución hacia un shock séptico fatal de origen urinario. Este caso subraya la complejidad del manejo en pacientes con comorbilidades severas, en quienes el monitoreo intensivo y el tratamiento integral son esenciales para prevenir desenlaces adversos.
En ambos casos, la hiponatremia severa actuó como un punto de convergencia entre las manifestaciones de la enfermedad hepática crónica compensada y un tumor primario. La hiponatremia severa fue un marcador paraneoplásico de malignidad, lo que limitó las opciones terapéuticas y el pronóstico de los pacientes.
Estos casos resaltan varios puntos claves para el manejo clínico. En primer lugar, la hiponatremia severa en pacientes con cirrosis debe ser identificada y abordada rápidamente, debido a su impacto potencial en el pronóstico. En segundo lugar, la normalización del sodio sérico debe realizarse de manera cuidadosa para evitar complicaciones neurológicas, como la mielinolisis pontina. En tercer lugar, es crucial un enfoque multidisciplinario que combine el tratamiento de la hiponatremia con el manejo de la enfermedad subyacente. Por último, la presencia de hiponatremia severa, particularmente en el contexto de enfermedades hepáticas avanzadas, debe considerarse un marcador de mal pronóstico, orientando las decisiones hacia un abordaje intensivo.
Conclusión
La hiponatremia severa en pacientes cirróticos compensados debe considerarse un signo de alerta para buscar etiologías no relacionadas con la enfermedad hepática. Su posible relación con síndromes paraneoplásicos u otras causas y la complejidad de su fisiopatología requieren un enfoque multidisciplinario, con el fin de optimizar el manejo y mejorar la calidad de vida del paciente.
En síntesis, la hiponatremia severa en pacientes con cirrosis hepática resalta la intersección entre alteraciones fisiopatológicas complejas y descompensaciones clínicas graves. Su manejo requiere no solo la corrección electrolítica, sino también una comprensión profunda del contexto clínico subyacente.
Consentimiento para la publicación. Se obtuvieron las autorizaciones institucionales correspondientes para la publicación del trabajo.
Propiedad intelectual. Los autores declaran que los datos, las figuras y las tablas presentes en el manuscrito son originales y se realizaron en sus instituciones pertenecientes.
Financiamiento. Los autores declaran que no hubo fuentes de financiación externas.
Conflicto de interés. Los autores declaran no tener conflictos de interés en relación con este artículo.
Aviso de derechos de autor
© 2025 Acta Gastroenterológica Latinoamericana. Este es un artículo de acceso abierto publicado bajo los términos de la Licencia Creative Commons Attribution (CC BY-NC-SA 4.0), la cual permite el uso, la distribución y la reproducción de forma no comercial, siempre que se cite al autor y la fuente original.
Cite este artículo como: Domínguez J N, Cáceres M J, Martínez Rejtman L y col. Hiponatremia severa como marcadora de malignidad en pacientes con cirrosis hepática. Implicancias clínicas y relevancia pronóstica en dos casos. Acta Gastroenterol Latinoam. 2025;55(4):386-391. https://doi.org/10.52787/agl.v55i4.480
Referencias
- Castellanos L, Cárdenas L, Carrillo ML. Revisión Hiponatremia. Horiz Med. 2016;16(4):60-71.
- Jao GT, Chiong JR. Hyponatremia in acute decompensated heart failure: Mechanisms, prognosis, and treatment options. Clin Cardiol. 2010;33(11):666-71.
- Vaidya C, Ho W, Freda BJ. Management of hyponatremia: Providing treatment and avoiding harm. Cleve Clin J Med. 2010;77(10):715-26.
- Ghali JK. Mechanisms, risks, and new treatment options for hyponatremia. Cardiology. 2008;111(3):147-57.
- Guevara M, Ginés P. Hiponatremia en la cirrosis hepática: patogenia y tratamiento. Endocr y Nutr. 2010; 57(supl.2):15-21.
- Adrogué HG, Tucker BM, Madias NE. Diagnóstico y tratamiento de la hiponatremia: una revisión. JAMA. 2022;328(3):280-91. DOI:10.1001/jama.2022.11176
- Fibbi B, Marroncini G, Naldi L, Anceschi C, Errico A, Norello D, Peri A. Hiponatremia y cáncer: de la cama a la mesa. Cancers. 2023;15(4):1197. DOI:10.3390/cancers15041197
- Ost DE, Jim Yeung SC, Tanoue LT, Gould MK. Factores clínicos y organizacionales en la evaluación inicial de pacientes con cáncer de pulmón: diagnóstico y tratamiento del cáncer de pulmón. Guías de práctica clínica basadas en la evidencia del American College of Chest Physicians. 2013;143(5 Supl):e121S-e141S. DOI:10.1378/pecho.12-2352
- Castillo JJ, Vincent M, Juez E. Diagnóstico y tratamiento de la hiponatremia en pacientes con cáncer. The Oncologist. 2012;17(6):756-65. DOI:10.1634/theoncologist.2011-0400
- Warren AM, Grossmann M, Christ-Crain M, Russell N. Síndrome de antidiuresis inadecuada: de la fisiopatología al manejo. Endocrine Reviews. 2023;44(5):819-61. DOI:10.1210/endrev/bnad010
- Angeli P, Wong F, Watson H, Ginès P. Hyponatremia in cirrhosis: results of a patient population survey. Hepatol. 2006;44:1535-42.
- Sterns RH, et al. The treatment of hyponatremia. Semin Nephrol. 2009;29(3):282-99.
- Berardi R, Rinaldi, Caramanti M, Grohè C, Santoni M, Morgese F, Torniai M, Savin A, Fiordoliva I, Cascinu S. Hiponatremia en pacientes con cáncer: es hora de un nuevo enfoque. Crit Rev Oncol Hematol. 2016; 102:15-25. DOI:10.1016/j.critrevonc.2016.03.010
- Grohé C. Hyponatremia in Oncology Patients. Front Horm Res. 2019;52:161-6. DOI:10.1159/000493245
Correspondencia: Jonatan Nicolás Domínguez
Correo electrónico: yony.fcm21@gmail.com
Acta Gastroenterol Latinoam 2025;55(4):386-391
Revista ACTA Órgano Oficial de SAGE




